Siti Subandiyah
Department of Plant Protection, Faculty of Agriculture, Universitas Gadjah Mada Jln. Flora No. 1, Bulaksumur, Sleman, Yogyakarta 55281

Published : 1 Documents Claim Missing Document
Claim Missing Document
Check
Articles

Found 1 Documents
Search

The Role of Nanochitosan on the Expression of Rice Resistance Genes against Bacterial Leaf Blight Siswanti Siswanti; Tri Joko; Siti Subandiyah
Jurnal Perlindungan Tanaman Indonesia Vol 24, No 2 (2020)
Publisher : Universitas Gadjah Mada

Show Abstract | Download Original | Original Source | Check in Google Scholar | DOI: 10.22146/jpti.44418

Abstract

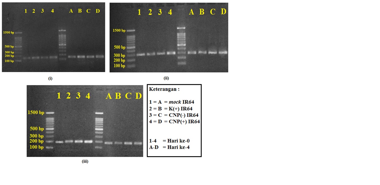
Bacterial leaf blight (BLB) caused by Xanthomonas oryzae pv. oryzae (Xoo) has been reported to cause ± 20–50% of rice yield loss around the world. Resistant varieties are used to control this disease, however due to rapid evolution of this pathogen, the resistances was broken down in a few years. This study is aimed to determine the role of nanochitosan in the expression of rice Xa21 and Xa1 resistant genes against Xoo. The BLB susceptible rice cultivar IR64, the Xoo isolate MAG2 and a 0.065% concentration of nanochitosan were used in this experiment. Application of nanochitosan was carried out within 1-week intervals starting at rice aged 2–10 weeks after transplanting. The expression of Xa21 and Xa1 genes against Xoo were analyzed using conventional PCR and qPCR methods at 0 and 4 days after Xoo inoculation followed by 4x scoring of disease symptoms in 1-week interval. The treatments used in this study included the mock one/inoculated with sterile distilled water, K (+)/ plants inoculated with Xoo, CNP (-)/ with nanochitosan and sterile distilled water inoculation, and CNP (+)/ with nanochitosan and Xoo inoculation. The results showed that the 0.0065% concentration nanochitosan application was able to increase the expression of Xa21 and Xa1 genes on CNP (-). Disease intensity and AUDPC values did not show any significant difference between K (+) and CNP (+). This study concluded that nanochitosan at 0.065% was able to increase the expression of rice Xa21 and Xa1 resistance genes. However, the gene expression was not able to significantly suppress the infection development of Xoo.